Casi clinici - Studio Dentistico Stella S.r.l. - Garbagnate Milanese -
Vai ai contenuti
Menu principale:
×
Home
Chi siamo
Convenzioni e Finanziamenti
Tecnologia
Carta dei Servizi
Lo studio consiglia
Casi clinici
Casi clinici
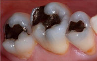
RESTAURO
IN CONSERVATIVA
Sostituzione vecchie otturazioni in amalgama con otturazioni in composito.
.
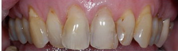
FACCETTE ESTETICHE
IN COMPOSITO
Applicazione faccette con tecnica adesiva
.
PROTESI FISSA-CORONE
IN ZIRCONIA
Riabilitazione protesica fissa con tecnica CAD-CAM, impronte digitale 3D.
.
PROTESI SU IMPIANTI
Inserimento protesi totale avvitata arcata superiore con tecnica ALL ON FOUR
.
TRATTAMENTO ORTODONTICO E SBIANCAMENTO PROFESSIONALE
Riallineamento dentale con trattamento ortodontico fisso, tecnica MBT e sbiancamento con tecnologia LED.
Durata trattemento: 18 mesi
.
Puoi seguirci su:
Home
|
Chi siamo
|
Convenzioni e Finanziamenti
|
Tecnologia
|
Carta dei Servizi
|
Lo studio consiglia
|
Casi clinici
|
Mappa generale del sito
© Studio Stella S.r.l. - Via Pergolesi n. 3 - 20024 - Garbagnate Milanese (MI)
Tel: 02 9956207 | P.IVA 09026230152 | E-mail: info@studiodentisticostella.it
Note Legali | Informativa Privacy e Cookie Policy
Torna ai contenuti
|
Torna al menu
Per poter utilizzare questo sito è necessario attivare JavaScript.